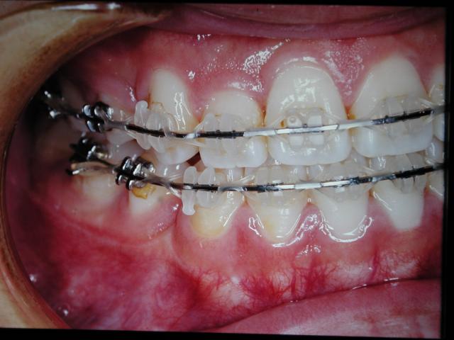
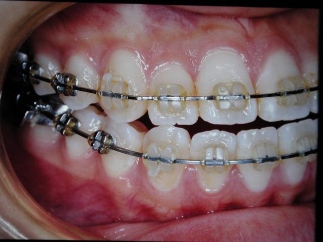
a ¾å³Ü¹üÀÚ¤ê½Ñ¡§¾å³Ü¹ü¤ÎÊÑ·Á¤¬Â礤¤¾ì¹ç¤ä¶¯Å٤γ«Òû¾É¤ä²¼³ÜÁ°¡¡¡¡ÆÍ¾É¤ÎÊý¤Ë¹Ô¤¤¤Þ¤¹¡£²¼³Ü¹ü¤Î¼ê½Ñ¤ÈƱ»þ¤Ë¹Ô¤¦¤³¤È¤¬Â¿¤¤¤Ç¤¹¡£
¡¡
b ²¼³Ü¹üÀÚ¤ê½Ñ¡§²¼³Ü»ÞÌð¾õʬ³ä½Ñ¤Ê¤É¤Î²¼³Ü°Üư½Ñ¡£¡¡¡¡1957ǯ¤Ëȯɽ¤µ¤ì¤Æ°ÊÍè¡¢ºÇ¤â¥Ý¥Ô¥å¥é¡¼¤Ê³ÜÊÑ·Á¾É¤ËÂФ¹¤ë¡¡¡¡¼ê½ÑË¡¤Ç¤¹¡£¡¡¡¡½Ð·ìÎ̤Ï100cc°Ê²¼¡¢¼ê½Ñ»þ´Ö¤â2»þ´ÖÄø¤Ç½ªÎ»¤·¤Þ¤¹¡£
¡¡
c »õÁåÉô¹üÀÚ¤ê½Ñ¡§¥±¡¼¥ìË¡¤Ê¤É¤Î²¼³ÜÁ°Êý»õÁåÉô°Üư½Ñ¤Ç¡¢¡¡¡¡»õÎó¤Î1Éôʬ¤òû´ü´Ö¤Ç°Üư¤Ç¤¤Þ¤¹¡£¡¡¡¡³Ü¤Î¹ü¤ä´éÌ̤ÎÊÑ·Á¤¬¾¯¤Ê¤¤Êý¤Ë͸ú¤Ç¤¹¡£¡¡
¡¡ ¡¡
d ¥ª¥È¥¬¥¤·ÁÀ®½Ñ¡§¿³ÈþŪ¤ÊÍ×ÁǤ¬Â礤¤¼ê½Ñ¤Ç ¡¡¡¡²¼´éÌ̡ʥª¥È¥¬¥¤Éô¡Ë¤òÁ°¤Ë½Ð¤·¤¿¤ê¡¢¸å¤í¤Ë°ú¤Ã¹þ¤á¤¿¤ê¡¢¡¡¡¡Ã»¤¯¤·¤¿¤ê¤È·ÁÂ֤βþÁ±¤·¤Þ¤¹¡£Êä½õŪ¤Ê¼ê½Ñ¤Ç¤¹¡£
¡¡
e ²¾¹ü±äĹˡ¡§²¼³Ü¾®³Ü¾É¡Ê²¼³Ü¤¬Á´ÂÎŪ¤Ë°ú¤Ã¹þ¤ó¤Ç¤¤¤ë¡Ë¤Î¡¡¡¡´µ¼Ô¤µ¤ó¤ËÂФ·¤Æ²¼³Ü¹ü¤ò±äĹ¡Ê¿¤Ð¤¹¡Ë¤µ¤»¤Þ¤¹¡£¡¡¡¡¤³¤ì¤Ï¡¢´éÌ̤䲼³ÜÈóÂоΤÎÊý¤Ê¤É¤Ë¤â͸ú¤Ç¤¹¡£